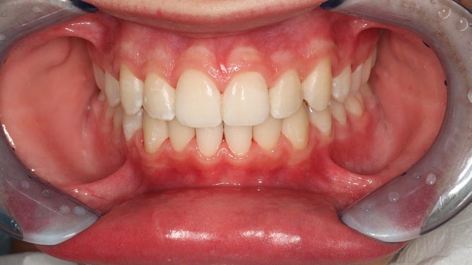
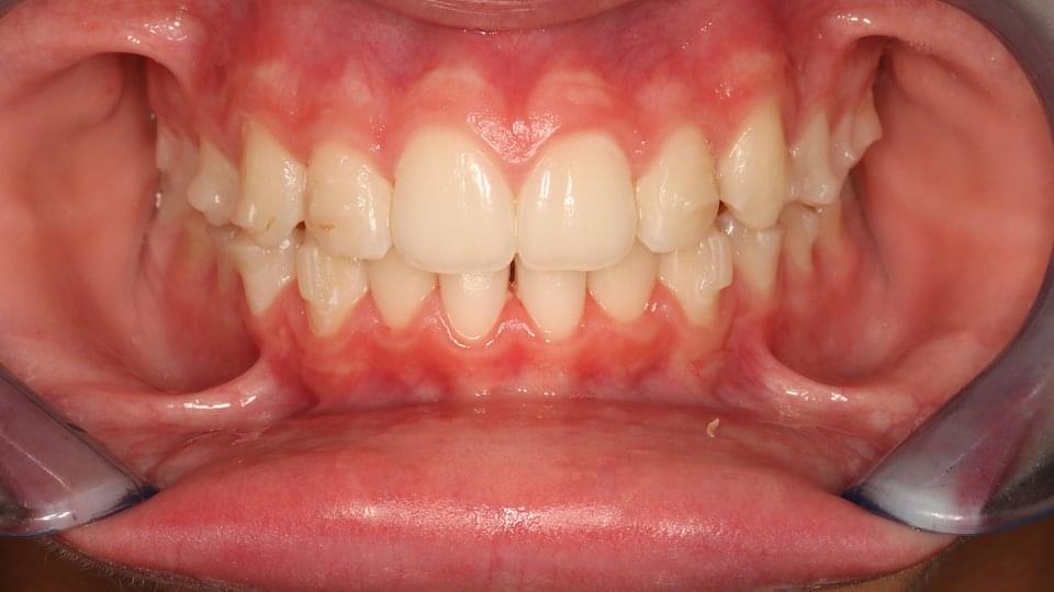
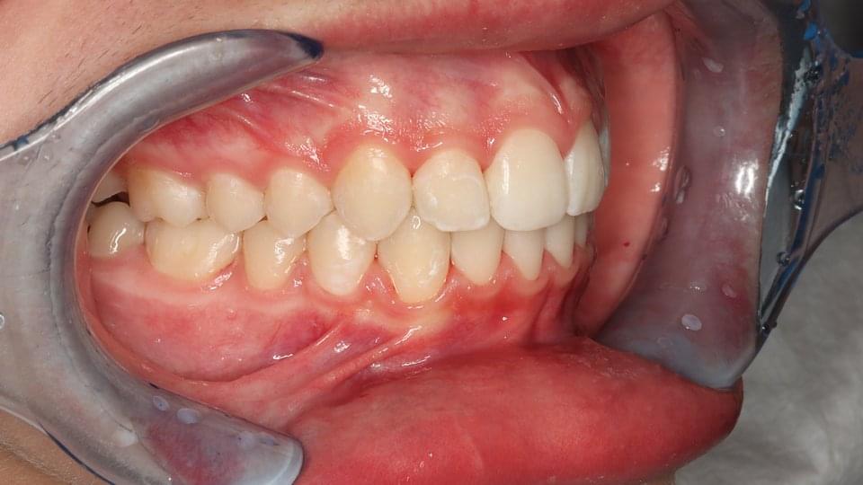
Ортодонтското лечение коригира захапката, отстранява успешно зъбно-челюстните деформации и подрежда зъбите както при деца и тийнейджъри, така и при възрастни. В нашата практика използваме както стандартни брекети, така и тяхната прозрачна алтернатива - системата Invisalign (лечение с алайнери). Тя е най-съвременният и модерен начин за лечение, който предоставя удобство, прецизност и по-бързи резултати в сравнение с брекетите. Преди да започнем лечението извършваме подробен ортодонтски анализ, който включва фотозаснемане и създаване на картон с информация за пациента. Изготвя се индивидуален план, съобразен с персоналните нужди и желания краен резултат, като се определят и конкретните стъпки, чрез които да постигнем оптималното здраве и красота на усмивката.

Ортодонтско лечение за деца, тийнейджъри и възрастни
"През годините в Дентална клиника Камбов имаме редица успешни случаи зад гърба си както със системата Invisalign, така и с брекети. Фокусирани сме върху дълготрайните решения, като съобразяваме плана на лечението с индивидуалните нужди на всеки." Д-р Светлана Стоянова
В конкурса „Усмивка на годината“, най-престижното дентално събитие в България, д-р Светлана Стоянова беше отличена с първа награда за работата си с деца и тийнейджъри, лекувани с алайнери. Авторитетното жури отреди максимален брой точки на нейния впечатляващ клиничен случай, демонстриращ ефективността и прецизността на съвременната ортодонтия с невидими шини.
- Международно признато жури с опит в естетичната и клинична дентална медицина.
- Специална церемония, събрала десетки изявени професионалисти от денталния сектор.
- Отличен случай, фокусиран върху щадящото, предвидимо и дискретно лечение при подрастващи.
Водещите зъболекари и зъботехници в страната бяха отличени за техните постижения в най-престижното дентално събитие - националния конкурс “Усмивка на годината” 2024. Главният ортодонт на клиника Камбов д-р Светлана Стоянова спечели първа награда в категорията „Ортодонтски случай с алайнери за възрастни“.
- Авторитетно международно жури и 150 гости от денталния елит на България и Европа.
- Рекорден брой кандидатури – 83, разделени в 19 категории.
- Участници от 9 държави – България, Полша, Молдова, Украйна, Испания, Франция, Северна Македония, Тайван и Китай.
Ортодонтско лечение с брекети
Лечението с брекети дава отлични резултати при различни зъбно-челюстни деформации като отворена захапка, дълбока захапка, кръстосана захапка във фронт или страничен участък и др. Комбинира се с редица ортопедични апарати - хедгиър, лицева маска, апарат за бързо разширение в горна челюст и др., като с тяхна помощ се постига корекция в захапката и се направлява правилният растеж на челюстите.
Лечение с брекети при деца и тийнейджъри
Ортодонтското лечение може да се раздели основно при растящи пациенти (деца между 7-9 г. и тийнейджъри) и при възрастни (над 15-17 г). Най-подходящият момент за провеждане на такова лечение е когато децата са в активен растеж (при момичета между 10-12 г. и при момчета между 12-14 г.). Тогава, освен подреждане на зъбите, имаме възможност правилно да направляваме и растежа на горната и долната челюст. Всеки случай е строго индивидуален като има показания, при които е наложително ранно ортодонтско лечение. Такива са неправилно съотношение между челюстите (кръстосана захапка, отворена захапка), вредни навици, силно струпани предни зъби и преждевременна загуба на временни зъби.
Лечение с брекети при възрастни
Ортодонтското лечение при възрастни протича обикновено след 15 годишна възраст при момичета и след 17 годишна възраст при момчета. При тях растежът на челюстите е приключил и не може да бъде направляван. Всички постоянни зъби са пробили и пациентите обикновено имат множество коронки, пломби, липсващи зъби или пародонтални проблеми. Като всичко това има значение за конкретния план на лечение. В тези случаи ортодонтското лечение се предшества от предварителна подготовка на пациента - смяна на лоши обтурации (пломби), лечение на кариеси, пародонтално лечение и други. При възрастните пациенти зъбите се движат много по-бавно, отколкото при децата, и силите, които се използват, са по-слаби. Често пъти ортодонтската намеса е само подготовка за последващо имплантологично и/или протетично лечение. За възрастни се използват метални или сапфирени брекети и се изисква постоянство, но резултатите не закъсняват.
Лечение на
трети скелетен клас
- Корекция с брекети на тясна горна челюст и кръстосана захапка в страничния участък
- Тежко струпване в горна и долна челюст
- Трети зъбен и трети скелетен клас - долната челюст е разположена по-напред в сравнение с горната
- Диастема между предните два зъба и неравни гингивални ръбове
Начално състояние
Установихме наличие на тясна горна челюст, струпване на зъбите в двете челюсти, диастема (разстояние) между горните два предни зъба, неравни гингивални ръбове, трети зъбен клас с тенденция към обратна захапка.
Освобождаване на място за зъбите
Разширение с апарат за бърза палатинaлна експанзия (RPE): Апаратчето се активира всеки ден в рамките на 30 дни, след което се цементира и остава в устата за минимум 6 месеца. Той е изолзван за опора за поставянето на лицева маска.
Лицева маска
Поставена е лицева маска за 6 месеца, с чиято помощ повлияхме успешно позицията на горна челюст, тъй като лечението се проведе в период на активен растеж.
Брекети на долна и горна челюст
В хода на лечението са поставени брекети първоначално на долна челюст, а впоследствие и на горна челюст. Кучешкият зъб горе в дясно е включен в лечението със сегментна дъга, като е използван за опора апаратът за разширение. По този начин позволяваме на зъба да заеме своето място в зъбната редица без да притегли към себе си и интрудира (премести нагоре) предните зъби.
Подреждане на зъбите
Зъбите са подредени, затворено е разстоянието между предните зъби, коригирано е тежкото струпване в двете челюсти, както и кръстосаната захапка в страничния участък.
Крайният резултат е красива усмивка
Лечението продължи 2 години, като на финала поставихме горен и долен фиксиран ретейнер.
Корекция на
ръбцова захапка
- Първи зъбен и първи скелетен клас с ръбцова захапка в предния участък
- Кръстосана захапка в ляво
- Умерено струпване в горна и долна челюст, както и тясна горна челюст
- Постигане на подредена и красива усмивка чрез брекети




Начално състояние
Лечението започна с разширение в горната челюст с апарат за бърза палатинална експанзия ( RPE ),което в последствие беше използвано като опора за поставяне на лицевата маска.
Освобождаване на място за зъбите
Апаратът се активира всеки ден в рамките на 1 месец, след което разширителният винт се запечатва и апаратчето остава в устата в продължение най-малко на 6 месеца.
След апарата за бързо разширение
Поставена е лицева маска за 6 месеца, с чиято помощ повлияхме успешно позицията на горна челюст, тъй като лечението се проведе в период на активен растеж.
Лицева маска
Назначена е лицева маска за 6 месеца и са залепени брекети в двете челюсти. Тъй като детето беше в активен растеж имахме възможност, освен да подредим зъбите, да направляваме и скелетния растеж, като разширим горната челюст и подпомогнем нейното развитие с помощта на лицева маска.
Ортодонтско лечение с брекети
В последствие са залепени брекети в горна и долна челюст, зъбите са подредени, коригиран е овърджета (хоризонтална отстоянието между горните и долните предни зъби) и овърбайта (покритието на долните от горните зъби).
Крайният резултат са безупречно подредени зъби
Цялото лечение продължи в рамките на 30 месеца. В края на лечението са поставени фиксирани ретейнери в горна и долна челюст.
Лечение на
ръбцова захапка
- Корекция на първи зъбен и първи скелетен клас
- Изтрити режещи ръбове
- Изместена долна средна линия, която не съвпада с горната средна линия
- Неравни гингивални ръбове
- Завършихме усмивката с поставяне на фасети за максимална естетика






Начално състояние
Установена е ръбцова захапка (режещите ръбове на горните зъби контактуват с режещите ръбове на долните предни зъби), която води до множестовото изтривания на ръбчетата на предните зъби. По принцип нормата е горните зъби да покриват долните с 1-2 мм.
Изготвяне на проект
Преди да започнем с ортодонтското лечение изготвяме дигитален дизайн на усмивката (ДСД), с помощта на който пациентката може да види как ще изглежда в края на лечението. В този случай ортодонтското лечение е подготовка за последващо протетично възстановяване на предните зъби. Целта му е да коригираме овърджета (отстоянието между предните зъби) и овърбайта (покритието), което ще позволи поставянето на фасети.
Ортодонтско лечение
Поставени са брекети на горна и долна челюст.
В края на ортодонтското лечение
Постигнали сме корекция на ръбцовата захапка, нормално покритие и сме коригирали средните линии.
Подреждане на зъбите
След сваляне на брекетите зъбите са добре подредени, коригирана е захапката и пациентката може да пристъпи към последващото протетично възстановяване. Проведено е домашно избелване.
Крайният резултат е ослепителен
Финалната усмивка на пациентката след поставяне на фасети на предните зъби.
Недостатъчно място за
постоянните зъби
- Ранно ортодонтско лечение
- Разширение с апарат за бърза палатинална експанзия
- Диастема между горните централни резци
- Проследяване на резултатите във времето






Начално състояние
В нашата клиника постъпи 8-годишно дете, чиито родители бяха загрижени, че след дълго време горните постоянни втори зъби все още не пробиват, след като млечните са паднали.
Рентгенова снимка
След проведен обстоен преглед се установи, че причината за това е тясна горна челюст, което беше довела до изместване на централните резци. При смяната си те резорбират корените на първите и вторите млечни зъби, заемайки такава позиция, която блокира пробива на постоянните втори зъби.
Бърза палатинална експанзия
Лечението, което предприехме включваше разширяване на горната челюст с апарат за бърза палатинална експанзия и подготовка на челюстите за пробива на останалите постоянни зъби.
Ортодонтско лечение с брекети
Ортодонтското лечение продължи по-малко от година, като успяхме да създадем достатъчно пространство за пробива на горните втори зъби
Подреждане на зъбите
След пробива на вторите зъби, те естествено затвориха диастемата (разстоянието) между горните централни резци.
Крайният резултат е здрава усмивка
След проведеното ранно лечение се назначават регулярни контролни прегледи, за да се следи навременното поникване на постоянните зъби. След като всички зъби пробият, се прави оценка и анализ за необходимостта от втора фаза на лечение.
Лечение на
инфантилно преглъщане
- Установено подпъхване на езика между зъбите
- Диастема и треми между зъбите в двете челюсти
- 2 зъбен клас - долната челюст е по-назад от горната
- Дълбока захапка






Начално състояние
Наблюдават се дълбока захапка (горните зъби почти изцяло покриват долните), която е доста травматична и би довела до пародонтални проблеми впоследствие.
След обстоен преглед
Виждат се множество разстояния, причината за които е наличието на вреден навик - инфантилно преглъщане. В основата на ортодонтското лечение беше отстраняването му, за да може да се очаква дългосрочна стабилност на получения резултат.
Ортодонтско лечение с брекети
Поставени са брекети на горна и долна челюст.
В процеса на лечение
Постепенно са събрани разстоянията първо в долна и след това в горна челюст.
Подреждане на зъбите
Дълбоката захапка е коригирана, зъбите в двете челюсти са добре подредени, разстоянията са затворени и е коригиран 2 зъбен клас.
Трайно красив резултат
Лечението премина в рамките на почти 2 години, като накрая са поставени горен и долен фиксиран ретейнер с цел запазване на получения резултат.
Лечение на
кръстосана захапка
- Коригиране на изместена горна средна линия
- Струпване на зъбите в долна челюст
- Подреждане на зъбите в двете челюсти
Начално състояние
Пациентка с множество възстановявания, която не харесваше усмивката си. След проведен ортодонтски анализ установихме наличието на множество възстановявания - коронки, мостове и кръстосана захапка във фронта. Имаше и изместена средна линия в горна челюст в дясно, която не съвпада със средната линия на лицето. Освен това средната линия в горна челюст не съвпадаше и със средната линия в долна челюст.
Освобождаване на място
Установена беше и липса на втори и четвърти зъб горе в дясно, като кучешкият зъб (трети зъб) беше разположен на мястото на втория зъб. В долната челюст също имаше струпване на зъбите.
Брекети на долна и горна челюст
Постепенно освободихме място за горен втори зъб в дясно, като кучешкия зъб изместихме назад, използвайки мястото от липсващия 4-и зъб. След това изработихме зъб от композит, който включихме в дъгата посредством брекет. По този начин осигурихме комфорт за пациентката, докато освобождавахме място за поставянето на бъдещия имплант.
Коригирана средна линия
Средната линия в горна челюст съвпада с долната средна линия, зъбите са подредени, коригирана е кръстосаната захапка, поставен е имплант на мястото на 2-и зъб в дясно, подменени са временните коронки на пациентката.
След проведеното ортодонтско лечение
Дълбоката захапка е коригирана, зъбите са подредени, изцяло следвайки проекта, който изготвихме в началото на лечението.
Финалният резултат
Проведено е домашно избелване и са поставени фасети на предните зъби и постоянната коронка на импланта. В края на лечението пациентаката се радва на красива и симетрична усмивка с отлична функционалност.
Дълбока захапка и
липса на зародиши
- Затваряне на разстоянията и възстановяване на липсващите зъби
- Премахване на диастема
- Корекция на неравни гингивални ръбове
Начално състояние
При първоначалния преглед установихме наличие на дълбока захапка, липса на зародиш на втория зъб горе в ляво и наличие на персистирал млечен кучешки от същата страна, както и малки размери на предните зъби с разстояния между тях.
С проект на зъбите
Пациентът има възможност да се види как ще изглежда още преди да е започнало ортодонтското лечение. С помощта на модел на новите зъби задаваме размерите на финалните зъби и в хода на лечението проектът се следва, като се запазва място за бъдещите възстановявания.
Ортодонтско лечение с брекети
В хода на ортодонтското лечение последователно са залепени брекети в горна и долна челюст. Млечният кучешки не е хванат с брекет. С композит са изградени зъбите още в самото начало, за да може да се запази място и в последствие финалните зъби да бъдат с по-големи размери както на първоначалния проект.
Поставяне на имплант
В хода на ортодонтското лечение млечният кучешки се изважда и на негово място се поставя имплант. Докато имплантът се остеоинтегрира връщаме млечния кучешки зъб, като му поставяме брекет и го включваме в дъгата.
Ортодонтско лечение с брекети
В последствие са залепени брекети в горна и долна челюст, зъбите са подредени, коригиран е овърджета (хоризонтална отстоянието между горните и долните предни зъби) и овърбайта (покритието на долните от горните зъби).
Финалният резултат
Дълбоката захапка е коригирана, зъбите са подредени, изцяло следвайки проекта изготвен в началото.
Ортодонтско лечение с Invisalign
Системата Invisalign е най-съвременният и ефективен метод за ортодонтско лечение, чрез който се постига бърз и предвидим резултат. Тя включва сет от индивидуални алайнери (прозрачни шини), които се изработват с помощта на иновативна дигитална технология след предварителен компютърен анализ. Лечението се характеризира с изключителна прецизност и възможност пациентът да види предварително крайния резултат от него. Алайнерите се изработват от биосъвместим, фин, прозрачен материал, което ги прави практически невидими и комфортни за пациента. Носят се в рамките на 20-22 часа на ден, като се сменят всяка седмица. Те са изключително комфортни за пациента, тъй като се свалят по време на хранене и миене на зъбите. За крайния резултат от лечението е много важно съдействието от страна на пациентите и постоянството в носенето на всяка стъпка.
Лечение с алайнери при деца и тийнейджъри
Ортодонтското лечение с Invisalign е изключително подходящо за деца и тийнейджъри поради няколко ключови причини. Преди всичко по-краткият период на лечение е от съществено значение - обичайно той продължава между 3 и 18 месеца, което е значително по-бързо в сравнение със стандартните брекети. Силите, прилагани при Invisalign, са също по-слаби, което значително намалява болката и дискомфорта за пациента. Възможно е леко усещане по-скоро на изтръпване на зъбите за няколко дни, което много бързо отшумява. Тази характеристика прави системата идеална за деца и тийнейджъри. Освен това, за разлика от стандартните метални брекети, където може да се случи да се отлепи брекет или да се травмират меките тъкани, лечението с Invisalign е много по-комфортно и безопасно за пациента, като елиминира риска от травми.
Лечение на възрастни пациенти с невидими шини
Системата Invisalign става все по-търсена особено сред възрастните пациенти поради редица свои предимства като на първо място това е естетиката - те са почти незабележими. Освен това те са много комфортни и не затрудняват почистването и храненето, тъй като се свалят по време на хранене и миене на зъбите. Лечението преминава почти без болка (пациентите съобщават по скоро за напрежение, отколкото за болка), както и кратките срокове на лечение. Системата се прилага за лечение на редица проблеми като затваряне на разстояния между зъбите, кръстосана, дистална или ръбцова захапка и други.
Лечение на случай с
липсващи зародиши
- Затваряне на диастема чрез системата Invisalign
- Осигуряване на място и поставяне на 2 импланта на мястото на липсващите зародиши на постоянните втори зъби
- Коригиране на изтритите режещи ръбове и неравните гингивални ръбове
- Подобряване на естетиката с помощта на 2 фасети на централните резци

Начално състояние
Пациентката не харесваше усмивката си и искаше да подобри естетиката ѝ. В нейния случай установихме липса на зародиши на горните втори зъби, разстояния между зъбите и изтрити режещи ръбове.
Дигитален дизайн на усмивката
В този случай започнахме ортодонтското лечение след изготвянето на дигитален дизайн на усмивката, който беше водещ в хода на лечението. Той даде възможност на пациентката да види крайния резултат още в самото начало.
Ортодонтско лечение с невидими шини
Следвайки дизайна изготвихме компютърен анализ и планирахме цялото ортодонтско лечение, което проведохме с алайнери Инвизалайн. С тяхна помощ и посредством ластици преместихме кучешките зъби назад и освободихме достатъчно място за поставяне на бъдещите импланти на мястото на липсващите втори зъби.
Коригирана диастема
Лечението протече в рамките на 10 месеца, като събрахме диастемата (разстоянието между предните зъби), изместихме назад кучешките зъби и освободихме място за импланти на мястото на вторите зъби.
Поставяне на два импланта и две фасети
Впоследствие поставихме импланти на мястото на вторите зъби горе, извършихме домашно избелване и подобрихме естетиката на предните зъби с две фасети, тъй като бяха изтрити и пациентката не харесваше формата им.
Финална усмивка
Пациентката се радва на здрава, красива и функционална усмивка. Върнахме усмивката и самочувствието на нашата пациентка.
Корекция на
дълбока и дистална захапка
- Разширение в горна и долна челюст
- Подреждане на зъбите в горна и долна челюст с невидими шини
- Лечение на зъбен и скелетен клас 2 - дистална захапка
- Коригиране на дълбока захапка
Начално състояние
Установихме струпване на предните зъби и лека гингивална усмивка.
Дълбока захапка
Пациентката имаше и дълбока захапка - горните предни зъби почти изцяло покриваха долните предни зъби.
Струпване на зъбите
Налице е компресия (тясна горна челюст) с тежко струпване във фронта.
Постигнат резултат
Лечението се проведе в рамките на 10 месеца със системата Инвизалайн, като пациентката сменяше своите алайнери всяка седмица. Постигнахме корекция на дълбоката захапка.
Разширена горна челюст
Успяхме успешно да разширим горната челюст, като подредихме зъбите и в двете челюсти.
Финална усмивка
Благодарение на съдействието от страна на нашата пациентка и прецизния анализ и план на лечение постигнахме една красива, здрава и хармонична усмивка.
Лечение на
кръстосана и ръбцова захапка
- Коригиране на кръстосана захапка на единичен зъб във фронта чрез алайнери
- Разрешаване на проблем с тежко струпване в долна челюст
- Възстановяване на правилния контакт между зъбите
- Корекция на неравни гингивални ръбове
Начално състояние
Установихме кръстосана захапка при втория зъб горе в дясно, както и ръбцова захапка при предните зъби. Нормално горните зъби трябва да отстоят с 1-2 мм и да покриват долните зъби.
Кръстосана захапка
Наблюдава се струпване на предните зъби в горна челюст, втория зъб горе вдясно е разположен по-навътре от останалите в кръстосана захапка, тоест стои зад долните предни зъби.
Невидими шини на горна и долна челюст
Лечението се проведе със системата Invisalign. Пациентът сменяше алайнерите си всяка седмица, като носеше и клас 3 ластици.
Резултат след една година
Само в рамките на 12 месеца успяхме да коригираме кръстосаната захапка на пациента и да подредим добре зъбите в двете дъги.
Поставяне на ретейнер
В края на лечението са поставени горен и долен фиксиран ретейнер с цел запазване на получения резултат.
Финална усмивка
Благодарение на системата Invisalign постигнахме бърз, предвидим и високо ефективен резултат, възвръщайки красотата на усмивката на пациента.
Дистална и
дълбока захапка
- Тясна горна и долна челюст
- Тежко струпване в двете челюсти и дълбока захапка
- Зъбен клас 2 дистална захапка
- Ретроклинирани наклонени назад горни резци
- Липсващ предкътник горе в дясно






Начално състояние
Установихме наличие на тежко струпване на зъбите, което пречеше на пациентката да се усмихва, както и дистална захапка (долната челюст е в по-задна позиция от горната). Нормално всеки горен зъб контактува между два долни зъба (едноименния и задностоящия).
Състояние на горна челюст
Наблюдаваме тясна горна челюст, ретроклинирани (наклонени назад) горни централни резци и стърчащи напред втори зъби, т.нар захапка тип "декбис". Освен това липсва един предкътник горе в дясно.
Състояние на долна челюст
В долната челюст се наблюдава струпване, което затруднява почистването на зъбите на пациентката и увеличава риска от пародонтални проблеми впоследствие.
Ортодонтско лечение с Invisalign
Подредихме зъбите и коригираме дисталната захапка (2 зъбен клас) чрез дистализиране на зъбите - изместихме последователно горните задни зъби назад с помощта на алайнери и без никаква допълнителна опора от типа на мини имплант и др. По този начин значително съкратихме сроковете на ортодонтското лечението при пълен комфорт за пациента.
След лечението
Лечението премина с помощта на алайнери Invisalign за 1 година и 2 месеца. Пациентката беше изключително мотивирана и стриктна, като ги сменяше всяка седмица. Успяхме да разширим двете челюсти, да подредим зъбите и да коригираме наклона на горните резци.
Запазване на постигнатите резултати
В края на лечението поставихме долен фискиран ретейнер и горен вакуумен, който пациентката носи всяка вечер, за да се запази трайно във времето подредената ѝ усмивка.
Струпани зъби и
дистална захапка
- Проклинирани горни резци
- Голям овърджет - отстояние между горни и долни предни зъби
- Тесни горни и долни челюсти със струпани зъби
- Изместена долна средна линия
- Дълбока захапка
Начално състояние
Установихме тесни челюсти, долната средна линия не съвпада с горната и е изместена в ляво.
Множество отклонения
Наблюдава се силно проклинирани (наклонени напред) горни резци и дистална захапка, тоест долната челюст е разположена назад спрямо горната. Налице е компресия (тесни челюсти) със силно струпване на зъбите в двете челюсти.
Невидими шини на горна и долна челюст
Постигнахме подреждане на зъбите в двете челюсти, коригирахме долната средна линия, така че да съвпада с горната.
Видима промяна
Подобрихме наклона на горните резци, коригирахме втория зъбен клас (дистална захапка).
Успешно лечение
Успяхме успешно да разширим двете челюсти. На финала са поставени горен и долен фиксиран ретейнер.
Финална усмивка
Лечението с Invisalign доведе до пълна корекция на захапката и подреждане на зъбите с отлична естетика и стабилен резултат.
Затваряне на
разстояния между зъбите
- Коригиране на дълбока захапка с Invisalign
- Наличие на диастема и треми разстояния в двете челюсти
- Изтрити режещи ръбове
- Проведено протетично възстановяване





Начално състояние
Пациентът дойде с желание да коригира усмивката си. Установихме наличието на множество разстояния, клинични коронки, изтрити режещи ръбове и дълбока захапка.
Дигитален дизайн на усмивката
Изготвихме DSD ( дигитален дизайн на усмивката) и направихме план на лечението, който целеше с помощта на ортодонтското лечение да намалим разстоянията между зъбите, след което да се пристъпи към протетично възстановяване.
Прототип на бъдещата усмивка
Изработихме проект на бъдещите зъби (mock-up), който даде реална представа на пациента как ще изглежда в края на лечението. По този начин от самото начало знаехме точно колко да затворим разстоянията и какви отстояния да запазим между зъбите.
Ортодонтско лечение с невидими шини
След изготвянето на прецизен компюърен анализ, следвайки първоначалния проект, започнахме лечение с невидимата системата Инвизалайн. Лечението се проведе в рамките на 1 година с два сета от алайнери, които пациентът сменяше всяка седмица.
След лечението
В края на ортодонтското лечение зъбите са добре подредени, разстоянията са събрани точно колкото беше заложено на първоначалния проект, дълбоката захапка е коригирана. Пациентът носи вакуумни ретейнери, които слага всяка вечер с цел запазване на получения резултат.
Финалните възстановявания
Проведено е избелване и са поставени фасети в двете челюсти. Посредством ортодонтско и протетично лечение постигнахме желания резултат и зарадвахме пациента с нова красива усмивка.
Въпроси и отговори
Защо да изберете Invisalign?
Как ще изглеждам с шини Invisalign?
Какво включва системата Invisalign?
Какво е Invisalign?
Кога най-рано може да се започне ортодонтско лечение?
На какво се дължи дългосрочното запазване на получения резултат?
До какви резултати води ранното ортодонтско лечение?
Налага ли се отново ортодонтско лечение след провеждане на ранно?
Защо често при ортодонтско лечение трябва да се вадят мъдреци?
Защо е важно да се започне възможно най-рано лечението при някои определени случаи?
Колко време се носят ретайнерите?
Вредно ли е избелването на зъбите?
Защо да изберете Invisalign?
Защо да изберете Invisalign?
- Естетика - практически невидими, за дискретна корекция на усмивката.
- Безболезнено лечение - съпроводено само от минимално напрежение.
- Леснa хигиена - алайнерите се свалят за безпроблемно хранене и миене.
- Прецизност и бързи резултати - кратки срокове на лечение.
- Подходящи за всички - идеални както за деца, така и за тийнейджъри и възрастни.
- Без рискове - няма спешни ситуации, като разлепен брекет или стърчаща дъга.
Invisalign – модерно и удобно решение за перфектна усмивка!
Как ще изглеждам с шини Invisalign?
Как ще изглеждам с шини Invisalign?
Invisalign е идеалното решение за тези, които искат дискретно лечение. Алайнерите са:
- Почти невидими – изработени от фин, прозрачен материал, те остават незабележими в ежедневието.
- Естетика и удобство – дизайнът им е съобразен с естествената форма на зъбите, което осигурява красота и комфорт.
- Лесни за употреба – алайнерите се свалят лесно при хранене и миене, което спомага за безупречна хигиена.
Invisalign дава възможност за красиви, прави зъби, без компромиси с визията!
Какво включва системата Invisalign?
Какво включва системата Invisalign?
Системата Invisalign предлага:
- Персонализирани прозрачни шини (алайнери) – изработени за всеки пациент с помощта на иновативна дигитална технология.
- Компютърен анализ и прецизно планиране – гарантират предсказуеми резултати и висока ефективност.
- Визуализация на финалния резултат – пациентът може да види бъдещата си усмивка още преди започване на лечението.
Invisalign комбинира технология и комфорт за перфектно подредени зъби!
Какво е Invisalign?
Какво е Invisalign?
Invisalign е най-съвременният метод за изправяне на зъбите, известен още като „невидима ортодонтия“. Той предлага:
- Предвидими и бързи резултати – високоефективно лечение с кратки срокове.
- Индивидуално изработени прозрачни шини – създадени чрез дигитален компютърен анализ, тези алайнери осигуряват прецизно подреждане на зъбите.
- Визуализация на крайния резултат – пациентът може да види очаквания резултат още преди началото на лечението.
Invisalign е иновативно и прецизно решение за красива и подредена усмивка!
Кога най-рано може да се започне ортодонтско лечение?
Кога най-рано може да се започне ортодонтско лечение?
Началото на ортодонтското лечение е индивидуално и зависи от конкретния проблем. Лечението може да започне още в ранна възраст при наличие на:
- Вредни навици – които влияят върху развитието на зъбите и захапката.
- Струпани предни зъби – нуждаещи се от навременна корекция.
- Преждевременна загуба на временни зъби - за да се избегнат усложнения.
- Неправилно съотношение между челюстите – като кръстосна или отворена захапка.
Ранното лечение осигурява правилно развитие и здравословна усмивка!
На какво се дължи дългосрочното запазване на получения резултат?
На какво се дължи дългосрочното запазване на получения резултат?
Запазването на постигнатите резултати изисква:
- Точна диагноза и прецизно лечение – правилно поставената диагноза и прецизният анализ са в основата на успешното лечение.
- Активно съдействие на пациента – важно е пациентът да спазва инструкциите както по време на лечението, така и след него.
- Използване на ретайнери – след завършване на лечението се поставят фиксирани или снемаеми (вакуум) ретайнери за стабилизиране на зъбите.
Нашата обща цел е дългосрочното запазване на здравата и красива усмивка!
До какви резултати води ранното ортодонтско лечение?
До какви резултати води ранното ортодонтско лечение?
Ранното ортодонтско лечение помага за:
- Подобряване на съотношението между челюстите – за правилно подреждане и развитие.
- Премахване на вредни навици – ако има такива.
- Осигуряване на място за постоянните зъби – за безпроблемен пробив на зъбите. Ранната намеса създава здрава основа за правилна захапка и красива усмивка!
Налага ли се отново ортодонтско лечение след провеждане на ранно?
Налага ли се отново ортодонтско лечение след провеждане на ранно?
Необходимостта от повторно лечение е строго индивидуална и зависи от:
- Резултата след смяната на всички зъби – след смяната се прави повторна оценка.
- Анализ на състоянието – ортодонтът преценява дали е нужно допълнително лечение въз основа на анализа.
Втора фаза на лечение се прилага само при необходимост, за да се гарантира оптимален и дългосрочен резултат.
Защо често при ортодонтско лечение трябва да се вадят мъдреци?
Защо често при ортодонтско лечение трябва да се вадят мъдреци?
Мъдреците често се отстраняват поради:
- Лоша позиция – за да се предотвратят нежелани премествания на зъбите след лечението.
- Корекция на захапката – в много случаи се налага изваждането им, за да се улесни подреждането и правилното разположение на останалите зъби.
- Дистализиране – позволява зъбите в горната или рядко в долната челюст да се изместят назад и да се освободи място за добра подредба на зъбите.
Екипът на Дентална клиника Камбов постига оптимален ортодонтски резултат с индивидуално внимание към всеки пациент.
Защо е важно да се започне възможно най-рано лечението при някои определени случаи?
Защо е важно да се започне възможно най-рано лечението при някои определени случаи?
- Предотвратяване на усложнения – ранното лечение предотвратява задълбочаване на ортодонтския проблем.
- Трети клас захапка – при състояние, при което долната челюст е разположена по-напред от горната, лечението трябва да започне още в периода на временното съзъбие.
- Преустановяване на прогресията на скелетния проблем – ранната намеса спира влошаването на проблема, тъй като долната челюст продължава да расте.
- Превенция на ортогнатна хирургия – ако лечението бъде отложено за по-късна възраст, когато растежът е приключил, ортогнатната хирургия може да се наложи, за да се коригира челюстта чрез хирургическа намеса.
Ранната диагностика и лечение са ключови за успешен и дългосрочен ортодонтски резултат!
Колко време се носят ретайнерите?
Колко време се носят ретайнерите?
- Цял живот – повечето хора носят ретайнерите си за цял живот, като точната продължителност зависи от конкретния случай.
- Предотвратяване на нежелани промени – след приключване на лечението, зъбите могат да се преместят, като например струпване на долните предни зъби или отваряне на малки разстояния.
- Стриктно следване на инструкциите – важно е да се спазват указанията на ортодонта за носене на ретайнерите, за да се предотвратят нежеланите промени.
- Активно съдействие от пациента – вашето участие в ретенционния етап е решаващо за дългосрочните резултати и за запазване на постигнатата усмивка.
Ретайнерите са основен фактор за дългосрочно запазване на идеалния резултат от ортодонтското лечение.
Вредно ли е избелването на зъбите?
Вредно ли е избелването на зъбите?
Не, избелването на зъбите не е вредно:
- Извършваме процедурата с най-съвременните методи.
- Избелването не уврежда емайла и не вреди на зъбите.
- Чувствителността може да се повиши по време на самата процедура, но изчезва след нея.
Има основно два вида избелване на зъби - предназначени за домашно или кабинетно избелване. И двете процедури са безвредни и безболезнени. Като нежелана реакция може да е появата на чувствителност на зъбите към топло и студено, но тя е краткотрайна, а в повечето случаи и липсва.
Сертификат за качеството на лечение
В Дентална клиника Камбов издаваме сертификат за качество, гарантиращ всяка една манипулация, която е част от плана ви за лечение за срок от 5 години. Този сертификат гарантира, че ще получите най-доброто и съвременно лечение, с най-добрите материали и най-добрите зъботехници.
Затваряне на разстояние между зъбите
Mного хора определят разстоянието между зъбите като проблем, други го намират за чаровно. Днес има много начини да се коригира. Консултацията с добър зъболекар ще ви даде ясна представа какви са вариантите и как ще изглеждате финално, след приключване на процедурата.
ортодонстко лечение профилактика венци разстояние здрави зъбиПредимства на невидимата система Invisalign

Системата за ортодонтско лечение Invisalign съчетава редица предимства в много отношения. Днес ще ви разкрием най-важните преимущества на т.нар. невидимо ортодонтско лечение.
invisalign ортодонтско лечение алайнери инвизалайнОртодонтско лечение

За да изглеждате и да се чувствате добре, можем да коригираме несъвършенствата, които се дължат на неправилно подреждане на зъбите.
ортодонсткo лечение красива усмивка брекети отлични резултатиОртодонтско лечение при разстояние между зъбите

Един от често срещаните проблеми, който налага ортодонтско лечение, е затваряне на разстояние между зъбите. Вижте как съвременните ортодонстки методи могат да го решат с лекота.
ортодонсткo лечение алайнери брекети отлични резултатиОртодонтски анализ

Преди започване на всяко ортодонтско лечение е необходимо да се събере информация от пациента, която ще ни помогне в съставянето на подходящ план за лечение, съобразен с индивидуалните нужди на пациента. По този начин си гарантираме, че ортодонтската намеса ще бъде ефективна в дългосрочен план.
ортодонстки анализ лечение ортодонтско лечение телерентгенографияОртодонтско лечение на възрастни
Възрастовата ортодонтия има своите особености, но благодарение на съвременните методи и целенасоченото лечение, се постигат блестящи резултати, дори в по-късен етап.
ортодонсткo лечение алайнери брекети отлични резултатиОртодонтска екструзия

За да може да се изгради разрушен зъб, трябва да осигурим т.нар. биологична ширина – разстояние от 3 мм. от здравото зъбче до костта. Как може да се постигне това?
венец разрушен зъб лечение ортодонтско лечениеОртодонтско лечение при деца и тийнейджъри

Ортодонтията е дял от стоматологията, който се занимава с диагностика, профилактика и лечение на зъбно-челюстни деформации. Ортодонтското лечение има два ключови ефекта: здравен и естетичен. С негова помощ се постига подреждане на зъбите, корекция в захапката и направление върху правилния растеж на челюстите.
ортодонсткo лечение лечение брекети усложненияНевидимо ортодонтско лечение - Invisalign (Инвизалайн)
Системата Invisalign е най-съвременният метод за ортодонтско лечение, чрез който се постига бърз, предвидим и високо ефективен лечебен резултат. Тя включва сет от индивидуални алайнери (прозрачни шини), които са изработват с помощта на иновативна дигитална технология след предварителен компютърен анализ.
ортодонсткo лечение лечение инвизалайн invisalignМоже ли да попречи коронавирусът на ортодонтското ми лечение?

С появата на коронавирус (COVID-19) в България и последвалите ограничения, мнозина от вас сигурно се питат: какво се случва с ортодонтското ми лечение? Ситуацията е необичайна, неочаквана и непозната за всички нас. Разбираме, че е възможно да имате много въпроси, като в настоящата статия ще дадем отговори на най-важните от тях.
ортодонтско лечение коронавирус брекетиПравилната захапка – приоритет №1

За да изглеждате и да се чувствате добре, можем да коригираме несъвършенствата, които се дължат на неправилно подреждане на зъбите.
правилна захапка корекции ръбцова захапка лечение дигитален дизайн брекетиКои са вредните навици, които водят до ортодонтски деформации?

Още в ранна детска възраст се формира правилната захапка и зъбите се подреждат в зъбната дъга. Някои вредни навици обаче могат да възпрепятстват този процес и да доведат до ортодонтски деформации.
вредни навици дълбока захапка отворена захапка кръстосана захапка протрузия ретрузия


























































