Преобразяване на усмивката на Слави
“Зъбите ми се изтриват много бързо и имам чувствителност!” Така започва историята на Слави, която завършва не само с решение на този проблем, но и с една здрава и красива усмивка.
Усмивката на Слави

Слави е пациент на дентална клиника Камбов от дълги години, през които сме извършвали профилактични прегледи, пломби (обтурации) и бондинг на предните зъби. Запознати сме и с неговото здравословно състояние - той страда от киселини (гастро-езофагеален рефлукс - стомашни киселини, които се връщат през хранопровода и стигат до устната кухина).
Един ден получихме обаждане от него с оплакване, че има чувствителност във всички зъби. По време на прегледа установихме, че вследствие на остри епизоди в продължение на няколко дни, киселините от стомаха химично са изтрили голяма част от емайла на зъбите, което е причината за остра чувствителност от топло, студено и сладко на голяма част от зъбите.
Последствия от рефлукс

Проблемът съществуваше от години и Слави знаеше за него, като с течение на времето зъбите му се изтриваха малко по малко, но с последния епизод на рефлукс изтриването беше до такава степен, че лечението не можеше да бъде отлагано.
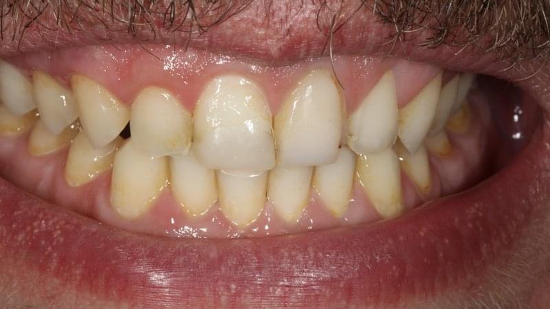
Преди лечението

Слави е ИТ специалист и работи в голяма компания - неговото ежедневие преминава пред компютъра, а усмивката не слиза от лицето му. Той е много комуникативен, обича да излиза навън и да се среща с нови хора, но състоянието на зъбите му го притесняваше и му създаваше дискомфорт.
Преди лечението

По време на последното посещение на Слави в Дентална клиника Камбов в София изработихме шина, в която да поставя специална паста и да спи с нея. Шината има за цел да реминерализира зъбите особено, ако епизодите на рефлукс се повторят.
Стъпките, които предприехме са следните:
- Извършване на пълна фотодокументация;
- Вземане на диагностични отпечатъци;
- Провеждане на подробно интервю със Слави за това как би желал да изглежда новата му усмивка;
- Съставяне на план на лечение, съобразен с неговите предпочитания и състояние на зъбите.
Дигиталният дизайн на усмивката ни позволи да визуализираме бъдещата му усмивка и да сме сигурни, че той я харесва. Следващата стъпка бе да направим восъчен проект, който включваше цялата горна и долна челюст. Нашият зъботехник, воден от дигиталния дизайн, изготви восъчен проект на зъбите, който бе съобразен както с естетиката, така и с функцията на захапката.
Восъчен проект

В случая на Слави повдигането на захапката беше минимално, само толкова, колкото да възстанови вече изтритите повърхности от зъбите, което ни позволи почти да не пипаме здравата част на зъбите, а само да надграждаме върху тях.
Установеният стандарт в клиника Камбов в София е, когато трябва да повдигнем захапката, да изработим временни зъби, които да бъдат изпробвани от пациента в продължение на 1 месец. Когато бяхме сигурни, че Слави се чувства добре с новата си усмивка заменихме временните зъби с постоянни, изработени от керамика. Избрахме материал, който най-добре ще изпълнява функцията, както естетично, така и функционално.
Етап от лечението

При случая на Слави, киселините в стомаха са ускорили процеса на изтриване на зъбите и са довели до поява на чувствителност, но това не се е случило за няколко дни, а по-скоро малко по малко в продължение на години. Има решение на проблема и той е в превенцията, но тя трябва да се случи още, когато усетите, че може да имате този проблем.
След лечението

Новата усмивка на Слави е преродена във вида, който винаги е желал - здрава, красива, блестяща и без чувствителност, защото ние вярваме, че това не са просто зъби, а нещо много повече. Благодарим му за съвместната работа и доверието през всичките години. Щастливи сме да бъдем част от неговата промяна.
Новата усмивка на Слави

Сертификат за качеството на лечение
В Дентална клиника Камбов издаваме сертификат за качество, гарантиращ всяка една манипулация, която е част от плана ви за лечение за срок от 5 години. Този сертификат гарантира, че ще получите най-доброто и съвременно лечение, с най-добрите материали и най-добрите зъботехници.
Усмивка на годината

Д-р Камбов е победител в категория "Имплантологичен случай" в "Усмивка на годината" 2018 - най-престижният конкурс за дентална медицина в България, събиращ най-добрите специалисти от цялата страна.
усмивка на годината 2018 пълна промяна усмивка награда имплантологияКоригиране на счупен зъб

Счупването на зъб е състояние, което често изисква спешна намеса от зъболекар. Причините за него могат да бъдат много и от различен характер. Възстановяването му зависи от това на какво ниво е счупен зъбът и дали е засегнат нервът или не.
счупен зъб възстановяване лечение болка писващ зъбПълна промяна - от негативна към позитивна линия на усмивката

Линията на усмивката играе голяма роля в естетиката на лицето. Тя се формира от параболата, която се образува от вермилиона на долната устна при усмивка. Понякога, за да изглежда усмивката красива, се налага корекция на предните зъби. Благодарение на дигиталния дизайн на усмивката, нашите пациенти могат да видят крайния резултат от лечението.
лечение красива усмивка пълна промяна дигитален дизайн отлични резултатиЗъбни коронки - видове и поставяне

Зъбът, който се облича с коронка, подлежи на предварителна подготовка. Изпилява се с прагова препарационна граница, която се намира под нивото на венеца. След изпиляването вашият зъболекар ще изработи временна коронка, която ще постави, докато стане готова постоянната.
коронки металокерамика цирконий керамикаПълна промяна на усмивката на Стефи

“Искам промяна на усмивката си, винаги съм имала леко криви и малки зъби с разстояния между тях, искам по-големи зъби, да са здрави и да се усмихвам без притеснения!” Така започва историята на Стефи...
лечение красива усмивка пълна промяна дигитален дизайн отлични резултатиФотополимерна пломба

Възстановяването на анатомичните форми на зъба се прилага от всеки добър зъболекар, отнема повече време, но позволява правилното сдъвкване на храната и предотвратява задържането на храна между зъбите. След приключване на лечението зъбът изглежда така естествено, че не може да познаете къде е пломбата.
фотополимерна пломба възстановяване лечение болка писващ зъб кофердам изгражданеИзбелване на зъби в домашни условия

Когато стане дума за избелване, много хора автоматично се сещат за стандартната процедура в денталния кабинет. В съвременната стоматология обаче все по-препоръчвана започва да бъде системата за домашно избелване.
избелване домашно избелване красиви зъби здрави зъбиАдхезивен мост

В случаите, когато има липсващ зъб, но разстоянието между зъбите не е достатъчно за имплант или няма достатъчно кост за имплантиране, всеки добър зъболекар ще вземе идеалното решение - изграждане на адхезивен мост.
адхезивен мост затваряне на разстояние поставяне на зъбКорекция на изтрити зъби

Възстановяването на изтритите зъби зависи от това колко са изтрити и дали това води до проблеми в дъвкателната функция и темпоромандибуларната става. Много често пациентът не осъзнава, че има изтриване на зъбите, но при преглед от зъболекар може да се установи има ли изтриване и доколко то може да създаде проблеми.
изтрити зъби скърцане със зъби стисканеИзбелване на умъртвени и потъмнели зъби

Много хора смятат, че за потъмнелите, преоцветени или умъртвени зъби няма какво да се направи, но това далеч не е така. Има редица начини да върнем обратно красивата ви усмивка, при това по възможно най-щадящия начин.
орална хигиена избелване умъртвен зъб потъмнели зъби здрави зъби фасетиПоставяне на зъб без хирургична намеса

Съвременната стоматология непрекъснато се развива и търси нови методи за лечение с минимална инвазивност. Едно от последните постижения на науката в тази област е адхезивният мост. С този метод може да се коригира и наличието на липсващ зъб. Направете консултация със зъболекар и вижте дали е удачно решение за лечение във вашия случай.
хирург красива усмивка липсващ зъб възстановяване мост коронка фасетиТърсите професионален отговор
Ако имате въпроси относно здравето на своите зъби или искате да си запазите час, ще се радваме да ви отговорим.
Кой ще Ви лекува?
